Editörler

Bülent Irkkan
Gülçin Tellioğlu
Leyla Yücel

Yayın Kurulu

Meryem Akköse
Yağmur Dolkun
Elif İnan
Suderin Murat
Doğanay Sevindik
Elif Vargı






Fotografya Yayın Kurulu
adına İmtiyaz Sahibi
Ş. Uğur Okçu


E-Mail Fotografya
fotografya@ada.net.tr

Yayınlanmasını İstediğiniz
Fotoğraf Haberleri İçin

fotografya@fotografya.gen.tr

ADANET Fotoğraf Editörü

Ş. Uğur OKÇU
 
ara


    Sayılar    Sayı 23    Sergi Salonu    Algı Projesi
Algı Projesi

Mesleğimi ve sanatı algılarımla bütünleştirme düşüncesi mikroskop fotoğrafları çekmeye başladığım 2002 yılına dayanır. Sitoteknolog olarak görev yaptığım meslek yaşamım boyunca mikroskopta gördüğüm her görüntü beni, deniz altının renkli dünyasına, doğanın sonsuz güzelliklerine, kimi zaman uzayın derinliklerine sürüklüyor. 

Yaşamın farklı düzlemlerde birbirini tekrar ederken ritmik ve senkronize görüntüler sunduğunu düşünüyorum. Ne görmek istediğimiz ve nasıl baktığımız çok önemli, rutine dönüşen yaşamımızda gözümüzün önünde duran birçok nesneyi görmeyiz bile. İşte bu rutin süreçlerimizde yaşamın içinden sosyal ve kültürel donanımlarımızın da etkisiyle seçimler yaparız. Düşündükçe algılar, algıladıkça düşünürüz. 

Bu düşüncelerden yola çıkarak mikroskop görüntülerinden elde ettiğim soyutlamalar ile doğadaki karşılıklarını bularak yaşadığımız dünyanın mikro ve makro boyutlarını algılamak adına yeni bir pencere açmaya çalıştık. AFSAD’lı bir grup fotoğrafçı arkadaşımla beraber 1 yıl çalışarak Algı Fotoğraf Projesini hayata geçirdik. Projeye katılan fotoğrafçı mikroskop fotoğrafının kendisine çağrıştırdığı görüntünün doğadaki karşılığını algılarıyla birleştirerek buldu ve fotoğrafladı. 

Bu uzun ve zorlu süreç tüm ekip için son derece paylaşımcı, özverili ve disiplinli bir çalışmanın ürünüdür. Sanatta farklılığı ve yaşamsal algılarımızda seçiciliği ön plana çıkarmayı amaçladığımız projemiz bir ilk olmaz özelliğine sahiptir.

Projenin diğer amacı fotoğraf sanatına, farklı bir bakış alanı olan  mikroskop fotoğrafları ile zenginlik katmanın yanı sıra yaşamın mikro boyutu hakkında da fikir vermekti.

Evrendeki yapı, diziliş en küçük birim hücreye inildiğinde kendini tekrar ederek farklı düzlemlerde sistemsel işleyişine devam ediyor. Algılarımıza daima güzelliklerin takılacağı sanat kadar güzel bir dünyada yaşamak ve devamlılığını sağlamak dileğiyle…

H. Irmak SOLDAMLI

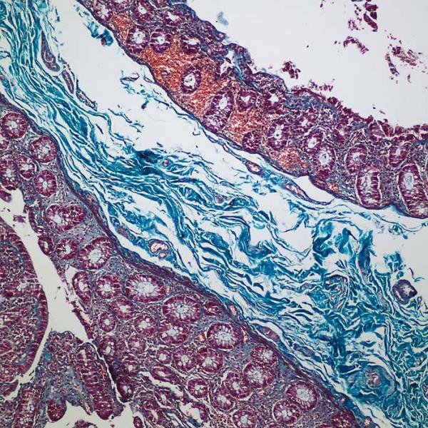
Mikroskop fotoğrafları
Algı Proje Yürütücüsü

Algı Proje Fotoğraf Sanatçıları

Ali Rıza AKALIN
Nursel AKÇA
Berrin CERRAHOĞLU
Şennur DEMİRER
Ufuk Duruman
R. Yavuz ILDIZ
Hamide KAN
Nuran KANSU
Kadriye KARATAŞ
Semra PEYKER
Ece UZEL
Halil UZEL


H. Irmak SOLDAMLI

  • H. Irmak SOLDAMLI
  • H. Irmak SOLDAMLI
  • H. Irmak SOLDAMLI
  • H. Irmak SOLDAMLI
  • H. Irmak SOLDAMLI
  • H. Irmak SOLDAMLI
  • H. Irmak SOLDAMLI
  • H. Irmak SOLDAMLI
  • H. Irmak SOLDAMLI
  • H. Irmak SOLDAMLI
  • H. Irmak SOLDAMLI
  • H. Irmak SOLDAMLI
  • H. Irmak SOLDAMLI
  • H. Irmak SOLDAMLI
  • H. Irmak SOLDAMLI
  • H. Irmak SOLDAMLI
  • H. Irmak SOLDAMLI
  • H. Irmak SOLDAMLI
  • H. Irmak SOLDAMLI
  • H. Irmak SOLDAMLI
  • H. Irmak SOLDAMLI
  • H. Irmak SOLDAMLI
  • H. Irmak SOLDAMLI
  • H. Irmak SOLDAMLI
  • H. Irmak SOLDAMLI
  • H. Irmak SOLDAMLI
  • H. Irmak SOLDAMLI
  • H. Irmak SOLDAMLI
  • H. Irmak SOLDAMLI


Ali Rıza AKALIN

  • Ali Rıza AKALIN


Atilla ÜNLÜEVCEK

  • Atilla ÜNLÜEVCEK
  • Atilla ÜNLÜEVCEK


Berrin CERRAHOĞLU

  • Berrin CERRAHOĞLU
  • Berrin CERRAHOĞLU


Ece UZEL

  • Ece UZEL
  • Ece UZEL


Halil UZEL

  • Halil UZEL
  • Halil UZEL


Hamide KAN

  • Hamide KAN
  • Hamide KAN


Kadriye KARATAŞ

  • Kadriye KARATAŞ
  • Kadriye KARATAŞ


Nuran KANSU

  • Nuran KANSU
  • Nuran KANSU


Nursel AKÇA

  • Nursel AKÇA
  • Nursel AKÇA


Semra PEYKER

  • Semra PEYKER
  • Semra PEYKER


Şennur DEMİRER

  • Şennur DEMİRER
  • Şennur DEMİRER


Ufuk DURUMAN

  • Ufuk DURUMAN
  • Ufuk DURUMAN


Yavuz İLDİZ

  • Yavuz İLDİZ
  • Yavuz İLDİZ



Ziyaretçi Sayısı:1001419
 
   
 
   
 

Barındırma: AdaNET

 

Copyright and "Fair Use" Information

Dergimiz ticari bir kuruluş olmayıp amatör bir yayındır. Fotoğrafçıları ve dünyada yapılan fotoğraf çalışmalarını tanıtmak amacıyla bilgi ve haber yayınları yapmaktadır.
Bir kolektif anlayışıyla çalıştığı için makalelerde yer alan fotoğraflar ve alıntıların sorumluluğu makalenin yazarına, fotoğrafçısına aittir.
Dergide yer alan içeriklerden ve ihlallerden derginin herhangi bir sorumluluğu yoktur.

Fotoğrafya'da yayınlanan yazıların, fotoğrafların ve kısa filmlerin sorumluluğu
yazarlarına/fotoğrafçılarına/sanatçılarına/film yönetmenlerine aittir.

Dergimiz fotoğrafla ilgili gelişmeleri duyurmak amacıyla çalışmaktadır. Ek olarak, ülkemizde yeterince tanınmayan yabancı fotoğrafçılar ve fotoğraflarıyla ilgili bilgi de aktarmaktadır. Makalelerde yer alan fotoğraflar HABER amaçlı kullanılmaktadır.

AdaNET Ana Sayfa X-Hall Instagram